審美歯科とは、文字の通り審美性を重視した歯科治療ですが、和歌山市の歯医者 たかだ歯科クリニックでは一時的な審美性のみの追求だけではなく、将来的な歯の健康のことも考えた上で審美歯科治療を行なっております。
「ニッコリ」笑顔に自信はありますか?
変色した前歯や奥歯の金属が気になりませんか?
機能を修復するだけでなく、本来の自然な美しい歯のように修復する審美歯科が注目されています。最近では就職活動前や結婚式前に歯を綺麗にしたいというニーズも一般的になってきました。
痛くない、噛めるというだけで満足ですか?
治療をしなくてはいけないのなら、その場しのぎではなく理想の健康美を実現しませんか?
審美歯科の治療で「より美しく、自然な歯を」取り戻しましょう!
当院では、治療前に「インフォームド・コンセント」(治療内容を説明し、患者様の納得を得て治療すること)を行います。患者様のお口の中の状態、治療方法、材料について、充分な説明をし、その上で患者さまからの歯や治療に対するご要望・ご希望をお伺いし、歯科医師としてのプロの目から見た必要な治療内容を総合的に判断し、「患者さまにとって最適な治療」を患者さまと一緒に話し合いながら、行っていきたいと考えています。
審美歯科治療で、歯に対してのコンプレックスを取り除き、健康的で美しい笑顔を自信を持って作れるようになる事を大切な目的として、治療させて頂きますので安心してご来院下さい。また、本ページには審美歯科症例も掲載しておりますので、是非あわせてご参考下さい。

セラミック治療とは、保険治療で用いられる審美性に難のある金属や、強度や安定性に劣るプラスチックなどの材質を使わずに、審美性、耐久性、生体親和性に優れた材質であるセラミック材料を用いて歯の修復を行うオーダーメイドの治療です。
最大の特徴としては、天然歯との見分けが難しいほど自然な色と輝きを得ることができ、時間を経ても変色が少なくその美しさが保たれる点です。
当院では、保険治療か自費治療かに関わらず、将来的なお口の中の健康を考慮した、より良い治療を提供することを日々心掛けています。しかし、保険治療で使用できる材質や工法などには制限があるため、自費治療のものに比べてどうしても劣る部分があることも事実です。
以下に、自費診療のセラミック治療と保険診療の比較をまとめておりますので、ご参考下さい。
また、セラミックは身体にも優しく、金属を使用しないのでアレルギーの心配もありません。
オールセラミックにて審美歯科治療をお考えの方は、是非、和歌山市の歯医者 たかだ歯科クリニックにご来院下さい。
インレーとは、虫歯を削り取った後の歯に埋める詰め物です。インレー(詰め物)には従来アマルガムや銀などの金属が使用されてきましたが、黒く目立ち、見た目にはよくありませんでした。セラミックを使用することにより、治療箇所が目立たず、自然でとても健康的に見えます。
クラウンとは、虫歯を削り取った後に歯の全体を覆う被せ物。ブリッジとは、欠損歯を両側の歯を支えにして修復する治療方法です。虫歯の進行具合によっては被せ物やブリッジによる治療となります。セラミックを使用することで、金属や歯科用プラスチックでは得られない透明感のある白い歯の輝きを取り戻すことができます。
ベニアとは、歯の修復箇所に貼り合わせる薄片です。歯と歯の間のすき間や、歯の色がくすみ、ケガなどで歯の一部が欠けたりなどの悩みには、ラミネートべニアといわれるセラミックの薄片を貼り合わせる治療を行うことで解決します。天然歯のような形態、健康的な色艶に再現します。歯の切削量が少ないことが、大きなメリットです。
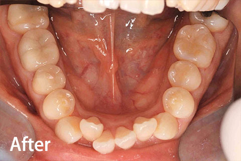
和歌山市の歯医者 たかだ歯科クリニックでは、詰め物から被せ物まで様々なケースのセラミック治療に対応しておりますので、歯の審美的な面でお悩みお困りの方は、是非当院へご相談下さい。患者様にとって最適な審美的歯科治療をご提案させていただきます。以下に、セラミック治療の各症例を掲載しておりますので、是非ご参考下さい。
![]() |
![]() ![]() |
![]() |
| 主訴 | 前歯でうまく咬めない。全体的に白くきれいに治したい。 |
|---|---|
| 治療内容 | 必要な部位の根管治療や歯周治療を行ったのちに、全体のホワイトニングを行い、白くなった歯の色調にあわせてセラミッククラウン(4本)を作製しセットしました。咬むことの機能と審美性の回復ができました。 |
| 標準費用【自費】 | 510,000円 |
| 治療期間・回数 | 約4ヶ月 |
| リスク・副作用 |
|
![]() |
![]() ![]() |
![]() |
| 主訴 | 以前の被せ物の根元付近の色と、真ん中の自身の歯の色と形をそろえて改善できないか? |
|---|---|
| 治療内容 | 必要な部位の根管治療や歯周治療を行ったのちに、できるだけ自然な仕上がりになるように色調、形態をそろえてセラミッククラウン(5本)を作製しセットしました。 |
| 標準費用【自費】 | 560,000円 |
| 治療期間・回数 | 約5ヶ月 |
| リスク・副作用 |
|
![]() |
![]() ![]() |
![]() |
| 主訴 | 前歯の色を改善したい |
|---|---|
| 治療内容 | 右上1番の変色が強く、残存歯質が一部菲薄であったため将来的な強度を考慮し、セラミッククラウンを作製し装着しました。 |
| 標準費用【自費】 | 113,500円 |
| 治療期間・回数 | 4回 |
| リスク・副作用 |
|
![]() |
![]() ![]() |
![]() |
| 主訴 | 目立つ銀歯を白い歯にしたい |
|---|---|
| 治療内容 | 虫歯と目立つ銀歯をより自然にみえるセラミックインレー(3本)とセラミッククラウン(2本)で修復しました。 |
| 標準費用【自費】 | 360,000円 |
| 治療期間・回数 | 約2ヶ月 |
| リスク・副作用 |
|
![]() |
![]() ![]() |
![]() |
| 主訴 | 金属の詰め物を白くしたい |
|---|---|
| 治療内容 | 金属のインレー(詰め物)が黒く目立ち、見た目がよくない為、セラミックインレー(2本)を使用することにより、治療箇所が目立たず、非常に健康的に見えるようになりました。 |
| 標準費用【自費】 | 115,000円 |
| 治療期間・回数 | 3回 |
| リスク・副作用 |
|
![]() |
![]() ![]() |
![]() |
| 主訴 | 白い被せ物で自然な感じに治したい |
|---|---|
| 治療内容 | セラミッククラウンを使用することによって、金属や歯科用プラスチックでは得られない透明感と強度のある白い歯の輝きを取り戻すことができました。 |
| 標準費用【自費】 | 183,000円(2歯) |
| 治療期間・回数 | 約2ヶ月 |
| リスク・副作用 |
|
![]() |
![]() ![]() |
![]() |
| 主訴 | プラスチックの被せ物が割れてとれた |
|---|---|
| 治療内容 | 以前から装着されていたプラスチックの被せ物が破折し脱離、内部では一部虫歯が広がっている状態でした。今回は強度と審美性に優れたジルコニアセラミッククラウンで修復しました。強度は保ちながらも、周囲の歯となじんだ自然な仕上がりになりました。 |
| 標準費用【自費】 | 91,500円 |
| 治療期間・回数 | 4回 |
| リスク・副作用 |
|
![]() |
![]() ![]() |
![]() |
| 主訴 | 前歯のすき間と歯の形が気になる |
|---|---|
| 治療内容 | 歯の表層を一層削って整え、ラミネートべニアといわれるセラミックの薄いシェルを作製し、接着する治療を行いました。4本あわせて処置することにより、気になっていた歯と歯のすき間と、元々の角張った歯の形が改善されました。やや丸みのある形態をあたえることによって女性らしい柔らかな印象の口元に仕上げることができました。 |
| 標準費用【自費】 | 536,000円 |
| 治療期間・回数 | 4回 |
| リスク・副作用 |
|
![]() |
![]() ![]() |
![]() |
| 主訴 | 前歯のすき間を治したい |
|---|---|
| 治療内容 | コンポジットレジンを正確に充填するためにあらかじめガイドを作製し、充填時にガイドを使用しコンポジットレジンを前歯のすき間にバランスと色調を合わせながら充填しました。ご自身の歯は一切削らずに審美的な改善ができたケースです。ラミネートべニアのように歯の形態は大きく変えることはできませんが、歯を削らずに処置できる点は将来的にも大きなメリットです。 |
| 標準費用【自費】 | 33,000円 |
| 治療期間・回数 | 3回 |
| リスク・副作用 |
|
![]() |
![]() ![]() |
![]() |
| 主訴 | 歯の色が不揃いなのを治したい、白くしたい (自分の歯はできるだけ削りたくない) |
|---|---|
| 治療内容 | 全体的なホワイトニング後、歯の神経がないために変色の強い右上2番、左上1番2番の3本は根管治療後ウォーキングブリーチを行うことでそれぞれの歯を周囲の歯の色に調和した白さにできるだけ近づけ、最後にコンポジットレジンにて詰め物のやりかえを行いました。歯を大きく削ることなく、残っている歯を最大限生かした治療です。(ウォーキングブリーチはそれぞれ右上2番で4回、左上1番で3回、左2番で3回行いました。) |
| 標準費用【自費】 | 140,000円 |
| 治療期間・回数 | 約3ヶ月 |
| リスク・副作用 |
|

